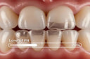
📏 Why Your Aligner Might Not Fit Properly
It’s common for aligners to feel tight at first—but when they don’t sit flush on your teeth or pop off easily, it could be a **tracking issue**.
Common causes include:
- Not wearing previous trays for the full time
- Skipping a set or switching trays too early
- Teeth moving slower than expected
- Warped trays due to hot water or improper storage

💬 At NewSmile, we recommend wearing each tray for the full duration and using aligner seaters daily to ensure the best tracking.
---
🦷 How to Check If Your Aligner Is Tracking
**Aligner tracking** refers to how well your aligners are following your teeth’s planned movements. Poor tracking can delay your treatment or cause discomfort.
Signs your aligner is not tracking:
- Visible space between the aligner and the top of your teeth (especially near the gumline)
- Tray pops out easily or doesn’t “snap” into place
- Uneven pressure or no pressure at all
Try this: Shine a flashlight through your aligner while it’s on. If you see gaps at the edges of your teeth, your aligner isn’t tracking well.
---
🧩 Fixing a Poor Fit: Simple Solutions First
If your aligner doesn’t fit, don’t panic—there are ways to get back on track without derailing your progress.
Try these steps:
- Use **chewies** 2–3 times a day for 5–10 minutes (bite down firmly to ensure aligner is fully seated)
- Wear your aligners for **22+ hours daily**, no exceptions
- Revert to your **previous set** for a few extra days if your new one won’t go in
- Never **force** an ill-fitting tray—it can damage your teeth or the aligner
🛠 NewSmile Tip: Keep all your old aligners throughout treatment—they may serve as a backup if you need to step back temporarily.
---
If you've followed all the above and your aligner still doesn’t fit properly, it’s time to get help. Continuing with the wrong fit can lead to poor results or discomfort.
Reach out if:
- You’ve worn chewies but still see large gaps
- You’ve tried wearing the previous tray again with no improvement
- The tray is painful or won’t stay in place
📬 NewSmile’s support team can help assess whether you should continue with your current aligner, go back a set, or request a new one. Sometimes, a refinement is the best solution—and we’ll guide you through every step.
---
✨ Final Thought
If your aligner doesn’t fit, it’s not the end of your journey—it’s just a detour. Tracking issues are common and fixable with a few simple steps and a little support.
Stay patient, follow your plan, and lean on NewSmile when needed. We’re here to help you get that perfectly aligned smile—one tray at a time.
What If My Aligner Doesn’t Fit?
Table of Contents
Aligner Tracking & Fit Issues: What to Do Next
Is your aligner not fitting quite right? Learn why it happens, how to check tracking, and simple solutions to get your smile journey back on course.
New aligners should feel snug, but if yours aren't fitting flush or leave a noticeable gap, it could be a tracking issue. Discover common causes, how to spot poor tracking, and effective ways to fix it, ensuring your treatment stays on track.
📏 Why Your Aligner Might Not Fit Properly
It’s common for aligners to feel tight at first—but when they don’t sit flush on your teeth or pop off easily, it could be a **tracking issue**.
Common causes include:
💬 At NewSmile, we recommend wearing each tray for the full duration and using aligner seaters daily to ensure the best tracking.
🦷 How to Check If Your Aligner Is Tracking
**Aligner tracking** refers to how well your aligners are following your teeth’s planned movements. Poor tracking can delay your treatment or cause discomfort.
Signs your aligner is not tracking:
Try this: Shine a flashlight through your aligner while it’s on. If you see gaps at the edges of your teeth, your aligner isn’t tracking well.
---🧩 Fixing a Poor Fit: Simple Solutions First
If your aligner doesn’t fit, don’t panic—there are ways to get back on track without derailing your progress.
Try these steps:
🛠 NewSmile Tip: Keep all your old aligners throughout treatment—they may serve as a backup if you need to step back temporarily.
📞 When to Contact Support or Switch Trays
If you've followed all the above and your aligner still doesn’t fit properly, it’s time to get help. Continuing with the wrong fit can lead to poor results or discomfort.
Reach out if:
📬 NewSmile’s support team can help assess whether you should continue with your current aligner, go back a set, or request a new one. Sometimes, a refinement is the best solution—and we’ll guide you through every step.
✨ Final Thought
If your aligner doesn’t fit, it’s not the end of your journey—it’s just a detour. Tracking issues are common and fixable with a few simple steps and a little support.
Stay patient, follow your plan, and lean on NewSmile when needed. We’re here to help you get that perfectly aligned smile—one tray at a time.
Table of Contents
Table of Contents
Aligner Tracking & Fit Issues: What to Do Next
Is your aligner not fitting quite right? Learn why it happens, how to check tracking, and simple solutions to get your smile journey back on course.
New aligners should feel snug, but if yours aren't fitting flush or leave a noticeable gap, it could be a tracking issue. Discover common causes, how to spot poor tracking, and effective ways to fix it, ensuring your treatment stays on track.
📏 Why Your Aligner Might Not Fit Properly
It’s common for aligners to feel tight at first—but when they don’t sit flush on your teeth or pop off easily, it could be a **tracking issue**.
Common causes include:
💬 At NewSmile, we recommend wearing each tray for the full duration and using aligner seaters daily to ensure the best tracking.
🦷 How to Check If Your Aligner Is Tracking
**Aligner tracking** refers to how well your aligners are following your teeth’s planned movements. Poor tracking can delay your treatment or cause discomfort.
Signs your aligner is not tracking:
Try this: Shine a flashlight through your aligner while it’s on. If you see gaps at the edges of your teeth, your aligner isn’t tracking well.
---🧩 Fixing a Poor Fit: Simple Solutions First
If your aligner doesn’t fit, don’t panic—there are ways to get back on track without derailing your progress.
Try these steps:
🛠 NewSmile Tip: Keep all your old aligners throughout treatment—they may serve as a backup if you need to step back temporarily.
📞 When to Contact Support or Switch Trays
If you've followed all the above and your aligner still doesn’t fit properly, it’s time to get help. Continuing with the wrong fit can lead to poor results or discomfort.
Reach out if:
📬 NewSmile’s support team can help assess whether you should continue with your current aligner, go back a set, or request a new one. Sometimes, a refinement is the best solution—and we’ll guide you through every step.
✨ Final Thought
If your aligner doesn’t fit, it’s not the end of your journey—it’s just a detour. Tracking issues are common and fixable with a few simple steps and a little support.
Stay patient, follow your plan, and lean on NewSmile when needed. We’re here to help you get that perfectly aligned smile—one tray at a time.
Table of Contents